A case with pulmonary alveolar microlithiasis
A 16-yr-old Danish male was referred for evaluation of diffuse bilateral infiltrates detected on HRCT. He presented with fever, cough without sputum, chest pain and fatigue, and had a history of shortness of breath on exertion. He was a smoker. There was no known family history of respiratory diseases. Apart from a systolic murmur, the clinical examination was normal.1
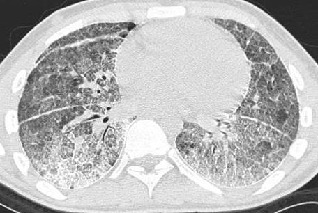
Pulmonary function tests showed a mild restrictive pattern. HRCT imaging of the lungs showed bilateral calcifications with increased attenuation involving alveoli, intra- and interlobular septa, fissures and pleura.

Figure 1. HRCT thorax from a patient with pulmonary alveolar microlithiasis (PAM).
Histopathological examination of a transbronchial lung biopsy revealed numerous concentric calcified concretions.

Figure 2. Lung biopsy from a patient with pulmonary alveolar microlithiasis (PAM) showing intraalveolar microliths.
The histopathology and the typical radiological picture on HRCT confirmed the (final) diagnosis of PAM. A DNA sequencing analysis of whole coding regions of SLC34A2 was performed and showed a genotype with a homozygous c.1402-1404delACC mutation in exon 12 of the SLC34A2 gene.1-4 The mutation results in a deletion of one of the four sequential threonine codons, and may have caused the disease by interfering with the structure and function of the protein.
References
- Jönsson ÅL, Simonsen U, Hilberg O, Bendstrup E. Pulmonary alveolar microlithiasis: two case reports and review of the literature. Eur Respir Rev 2012; 21(125): 249-56.
- Jönsson ÅL, Hilberg O, Bendstrup EM, Mogensen S, Simonsen U. SLC34A2 gene mutation may explain comorbidity of pulmonary alveolar microlithiasis and aortic valve sclerosis. Am J Respir Crit Care Med 2012;185(4): 464.
- Corut A, Senyigit A, Ugur SA, et al. Mutations in SLC34A2 cause pulmonary alveolar microlithiasis and are possibly associated with testicular microlithiasis. Am J Hum Genet. Download pdf.
- Huqun, Izumi S, Miyazawa H, et al. Mutations in the SLC34A2 gene are associated with pulmonary alveolar microlithiasis. Am J Respir Crit Care Med 2007; 175(3): 263-68.
------
1 This case has earlier been published in 2012 in European Respiratory Review.
